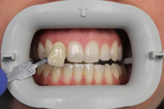
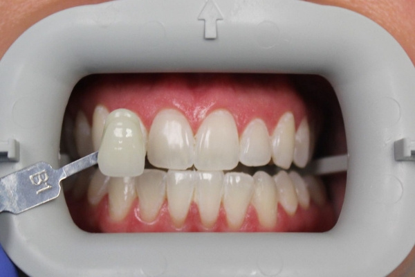
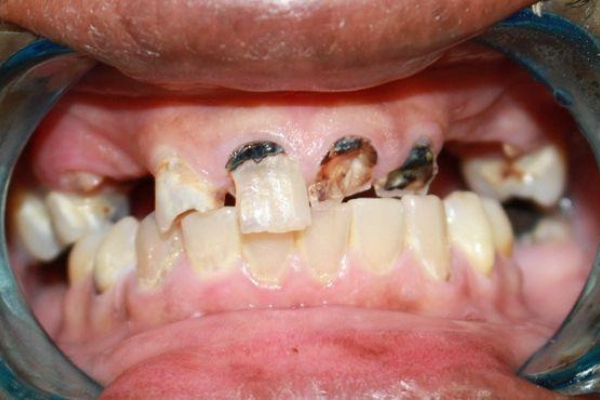
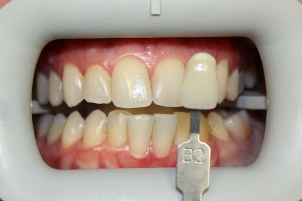
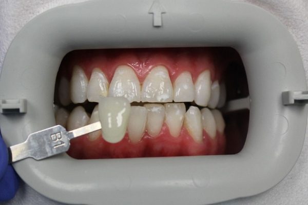
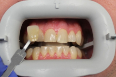
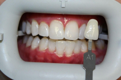
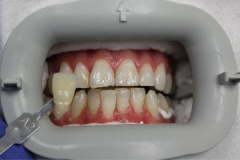
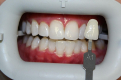
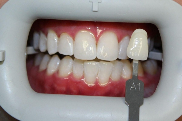
Smile Gallery

Port Arthur, TX Dentist

Schedule An Appointment